

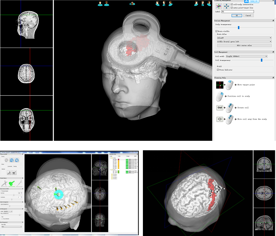
TMS智能导航机器人
英智TMS-PRO-ROB智能导航机器人系统是集医学成像技术、图像处理技术、定位导航技术、智能机器人技术与经颅磁刺激技术与一体的智能导航系统,可为TMS技术提供先进的精准定位导航服务。
1N力反馈
精确到1N的六轴力反馈传感器,确保协作机器人智能定位和跟随运动的安全性。
智能追随
集成近红外双目视觉定位技术与协作机器人的智能跟随系统,确保每一个脉冲刺激到同一靶点,实现精准的重复经颅磁刺激。
多靶点刺激
可自动根据预设方案依次定位靶点进行刺激,满足多部位脑区刺激治疗方案。
自动阈值检测
内设智能阵列刺激模式,可一键完成MEP检测,提高诊疗效率。

可解决临床难题
认知神经研究复杂
可快速协助解决脑功能连接研究难题(结构连接及功能连接),更易探究两段不同脑区BOLD序列在时间维度上的相关程度。
靶点不够精准
可有效解决脑功能区个体差异性较大、大脑功能区域划分不够、精准颅脑大小不同、个体阈值不同等难题。
定位操作困难
可有效解决首次治疗定位困难、技师手持角度偏差、治疗过程中患者头部移动导致“脱靶”等难题。
治疗方案不够权威
内置治疗方案来源权威循证依据,方案可靠,治疗效果有保证。
疗效无法评估
可有效解决多次重复治疗无法确保刺激同一位置,刺激效果无法实时反馈等难题。
治疗效率低
可有效解决单一线圈治疗效果的局限性、手持操作过程带来误差影响患者治疗等难题。
